

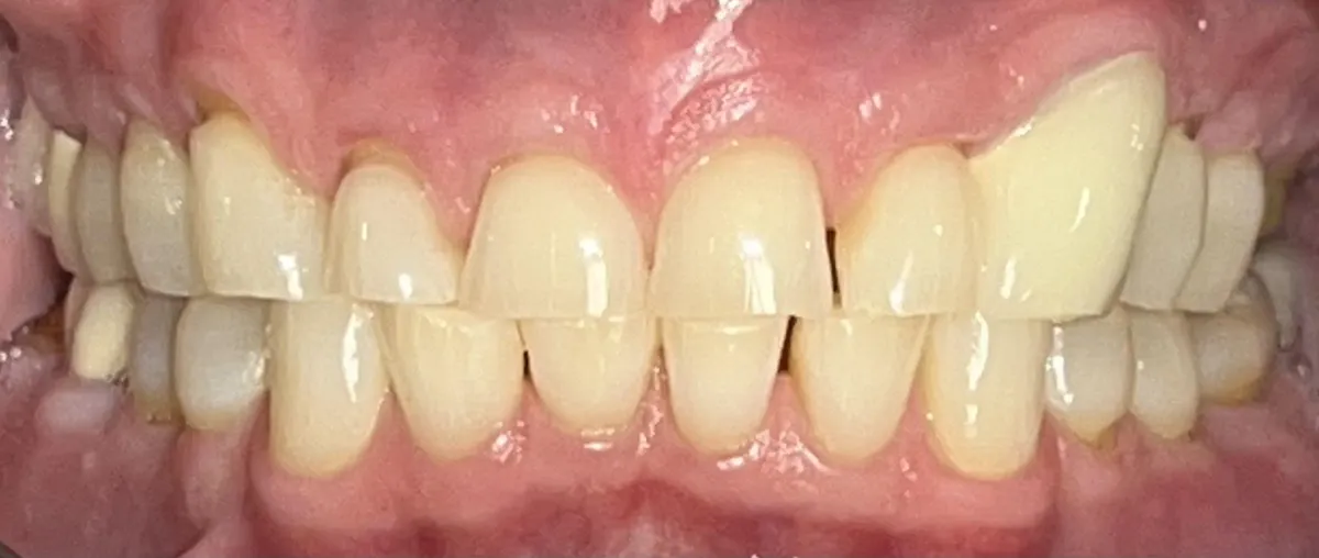
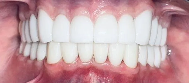
BEFORE

AFTER

BEFORE

AFTER

BEFORE

AFTER

BEFORE

AFTER

Regular cleanings and exams are essential to maintaining good oral health. Our team will work with you to develop a personalized plan for keeping your teeth and gums healthy.
If you have a cavity, our dentists will remove the decayed portion of the tooth and fill it with a material that will restore its shape, function, and appearance.
With crowns and bridges, we can restore function and appearance to missing or damaged teeth. Crowns work like caps to restore shape, size, and strength to damaged teeth. Bridges replace one or more missing teeth by attaching to natural teeth or implants on either side.
In some cases, a tooth may need to be removed. Our doctors will make sure that you are comfortable and informed throughout the extraction process.
We offer full mouth rehabilitation, a comprehensive treatment plan that addresses all aspects of a patient's oral health and leaves them with healthy smiles. Our team of experts will develop a treatment plan tailored to your needs and goals.
Missing teeth can be frustrating, impacting your ability to speak, eat, and smile with confidence. At Dental Arts, we offer full and partial dentures, custom-made to fit your mouth, and designed to look and function like natural teeth.
A root canal is a treatment used to save a tooth that has been infected or is in danger of becoming infected. The procedure involves.
Removing the infected or damaged pulp
Cleaning the inside of the tooth
Filling it with a medicated material
• Removing the infected or damaged pulp
• Cleaning the inside of the tooth
• Filling it with a medicated material
Our team provides kid-friendly dentistry services, designed to make dental care fun and gentle for children. From cleanings and exams to fluoride treatments and sealants, we'll help your child maintain optimal oral health.
At Dental Arts, we offer a wide range of cosmetic dentistry services to give our patients the smile they've always wanted. From teeth whitening to veneers and more, we can help you achieve a beautiful and natural-looking smile.
TOP REASONS TO CHOOSE
Dr. Michaelsen
And His Team For Your
Implant Needs
Credentialed and Highly Experienced
Use of Cone Beam and 3D Scans for Best Possible Treatment Plan
Accessibility to Surgeon and Doctor Anytime After Surgery
Surgical and Restorative Phase Complete in the Same Office
High Quality Comprehensive Care

Immediately after receiving his Doctor of Dental Surgery degree, Dr. Michaelsen began his private practice in Catoosa where he plans to enjoy a long career serving and caring for the dental needs of Catoosa and the surrounding communities.

Dr. Naylor is passionate about sports, music, the outdoors and good food. He and his wife Lauren love to cook, workout, run, travel and enjoy time with friends and family.
Dr. Naylor loves dentistry and meeting new people. He is excited about every opportunity to help somebody fix their teeth, get out of pain or improve their smile. The smile is the first thing we see and relate to when we meet someone, that is what fuels his passion for dentistry.
Dr. Naylor is a member of the ADA, AGD, OAGD and the ODA.

He is married with 3 children and enjoys golf, soccer, reading, and playing the piano. He and his wife Amber love watching sports, especially the Green Bay Packers, Utah Jazz, and BYU football. Dr Robinson completed a mini residency focused on the treatment of sleep apnea, and also enjoys placing implants. He loves his career in dentistry and the opportunity to interact with patients, especially when it involves getting them out of pain and improving their smile. He and his family recently moved to Oklahoma and are excited to serve the patients.

Immediately after receiving his Doctor of Dental Surgery degree, Dr. Michaelsen began his private practice in Catoosa where he plans to enjoy a long career serving and caring for the dental needs of Catoosa and the surrounding communities.

Dr. Naylor is passionate about sports, music, the outdoors and good food. He and his wife Lauren love to cook, workout, run, travel and enjoy time with friends and family.
Dr. Naylor loves dentistry and meeting new people. He is excited about every opportunity to help somebody fix their teeth, get out of pain or improve their smile. The smile is the first thing we see and relate to when we meet someone, that is what fuels his passion for dentistry.
Dr. Naylor is a member of the ADA, AGD, OAGD and the ODA.

He is married with 3 children and enjoys golf, soccer, reading, and playing the piano. He and his wife Amber love watching sports, especially the Green Bay Packers, Utah Jazz, and BYU football. Dr Robinson completed a mini residency focused on the treatment of sleep apnea, and also enjoys placing implants. He loves his career in dentistry and the opportunity to interact with patients, especially when it involves getting them out of pain and improving their smile. He and his family recently moved to Oklahoma and are excited to serve the patients.

I have been going to Dental Arts of Catoosa for years! We actually drive over an hour away to come to this dentist. Everyone is extremely friendly and nice. They do a great job making you feel comfortable and happy. Heidi is my hygienist and she is amazing!
I wanted to say thank you. I very rarely leave my home. I'm pretty much a recluse because of the PTSD and Cancer. I was having so much anxiety yesterday. Brilee You made a difference. Then my D.A. Dee. The Hygienist Maddi. The Dr. And some sweetheart of a woman named Morgan who. Helped me with my phone when my frustration meter was

After several years of not seeing a dentist my sister begged me to come to Dental Arts of Catoosa, she assured I would receive the best care! She wasn’t lying! Heidi was super sweet and helped me understand everything I was needing. Flexible payment plans and great care? Seriously a great place!
Let me tell y'all something about this place. They put the SERVE in service. I am new to the area and have needed cavities filled for a while. They set me up with an appointment within a week of my first call, and notified me ahead of time once my insurance was verified. BOTH front desk team members greeted me with a hello and a how are you. The dental hygienist not only answered all my questions, but she explained every step of what she was doing. The dentist pulled up my x-rays and detailed every aspect of what they needed to do. When I told them I have trouble getting numb for fillings, they were prepped and ready to use a stronger medication when the lidocaine didn't numb my teeth. The dentist expressed real empathy when I told them about my bad experiences at a different dental office. The dental assistant CHELSEA deserves a shout-out for not only coming prepared with handheld items to calm me down, but a wicked sense of humor which took my mind off the treatment. Oh, and they did the fillings SAME DAY. 5 Stars. A million high 5's. Best wishes to the ENTIRE staff!!!!

Mary, Haley and Haley were all so kind and helpful! Never felt rushed or judged at all! The experience was so anxiety free and easy going. As long as I'm a patient here I won't have to worry and dentist nerves! Thanks Haley, Haley and Mary for taking care of me!

Dental Arts has a phenomenal team. They really take care of you and your smile. Last year I had permanent implants put in. They have gone above and beyond in my care. I would highly recommend.


Experienced and
Caring Team
Our team of dentists and staff is led by Dr. Soren Michaelsen, who has a deep commitment to providing the highest quality of care to his patients. We pride ourselves on our experience and our ability to provide personalized, compassionate care to each of our patients.
Affordable Options
For patients without insurance, we offer our Dental Arts Family Plan, with an annual fee of $299 per individual. We also offer a special $99 deal on preventative care for new patients.
Advanced Technology
and Equipment
We use the latest technology and equipment to provide our patients with the most effective treatment options. This includes digital x-rays, which use less radiation than traditional x-rays, and a variety of other tools that help us provide more accurate and efficient care.
General dentistry focuses on maintaining your overall oral health. This includes routine cleanings, exams, fillings, gum care, and preventive treatments to keep your smile healthy.
We recommend visiting every 6 months for a cleaning and check-up. Some patients may need more frequent visits depending on their oral health.
Cleanings are generally not painful. Our team works gently and carefully. If your gums are sensitive, we can offer numbing gel or comfort options to make the experience more relaxing.
A persistent toothache is a sign that something needs attention. Call our office as soon as possible so we can diagnose the cause and provide relief..
Yes, we welcome new patients from Catoosa and surrounding areas. We look forward to helping you achieve a healthy and confident smile.
We work with most major dental insurance plans. Our team will help verify coverage and explain your benefits clearly before treatment.
No problem. We offer affordable payment options: Proceed, Care Credit, IQ, Lending Club, Sunbit, Alphaeon, Lending Point, and Cherry.
Good brushing and flossing habits, regular cleanings, and reducing sugary snacks can help prevent cavities. We also offer fluoride treatments and dental sealants for added protection.
We recommend children begin dental visits around age 1 or when the first tooth appears. Early care helps build strong, healthy habits.
We check your teeth, gums, and oral tissues, take any needed X-rays, and thoroughly clean and polish your teeth. Our goal is to keep your smile bright, fresh, and healthy.
We understand how important it is to be able to restore your dental health and your confidence with a long-term solution. That’s why we offer third-party financing options and work with you on payment plans to fit your budget.
Single Implant Replaced
for as little as
$97/mo*
Implant Retained Dentures
for
$247/mo*
Full Fixed Arch
as low as
$347/mo*
*Subject to Credit Approval
At your consultation, we can review all the options available to you.
There are many reasons why Dental Implants are a great option for patients who are missing teeth, and our team is here to help. We are experts in All-on-4 Dental Implants, which is a prosthesis that is supported by four surgically placed Dental Implants. This is an excellent alternative to single implants, because it gives you a full set of teeth without the need for a separate implant for each tooth. All on four implants are also a quick option because they can typically be placed the same day that your decayed teeth are extracted, minimizing your recovery time. Talk to our cosmetic dentists to see if you are a candidate for All on Four Dental Implants!
Looking for a Dentist in
Catoosa, OK?
At Dental Arts, we have put in a great deal of thought and effort into creating an enjoyable patient experience.
Our staff will make sure that you have everything you need for a very pleasant visit.