
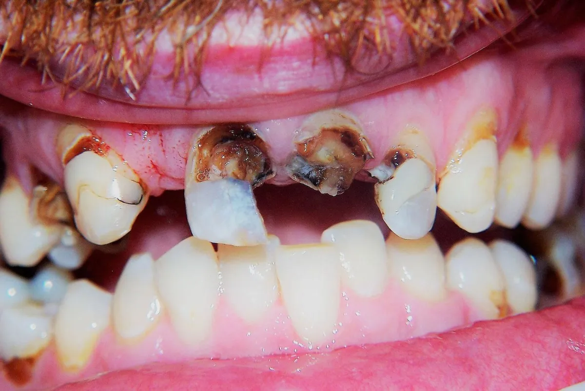
BEFORE

AFTER

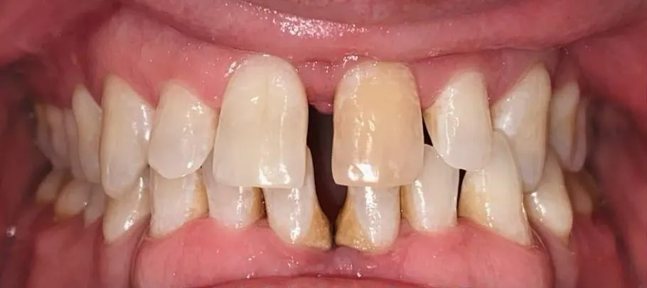
BEFORE

AFTER

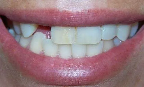
BEFORE

AFTER

BEFORE

AFTER

Generally speaking, a dental emergency is any issue that needs immediate attention to do the following:
➤ Save a tooth
➤ Alleviate pain
➤ Stop bleeding
A dental emergency also applies to infections that might be life-threatening. Ask yourself the following questions to determine if you need emergency dental services:
➤ Is one of your teeth missing?
➤ Are you in extreme pain?
➤ Do you have loose teeth?
➤ Are your mouth or gums bleeding?
➤ Is one of your teeth infected?
If you've answered yes to any of the above questions, you might need emergency dental care. Let's go over common emergencies our dental providers have treated.
While our teeth are designed to be strong, they're still prone to breaks, cracks, and fractures. Sometimes a cracked tooth can be painless, but if it extends to the tooth's root, it can result in extreme pain.
Breaks, cracks, and fractures are typically caused by biting, grinding, and trauma. An emergency dentist can provide you with dental care, helping you save your tooth.
If part of your tooth has broken off, please follow the below steps:
• Carefully rinse the mouth and tooth fragments with lukewarm water
• Place the tooth fragment in a plastic bag
• Put gauze on the area if it's bleeding
• Apply a damp towel on your cheek to minimize pain and swelling
The nature of the fracture or break will determine our course of action. We can either reattach the tooth fragment or perform a root canal.
Toothaches aren't something that you should take lightly. They're usually a sign that something more serious is happening. If you're experiencing unexplainable and sudden tooth pain, you need to get in touch with our dentists immediately. Some of the steps you should follow before heading to our office include:
• Rinsing your mouth with warm saltwater
• Applying a cool compress to your cheek
• Taking over-the-counter medication to alleviate your discomfort
We'll perform an oral examination, including x-rays, to determine the cause of your toothache. We might need to do extractions, depending on the cause.
Fillings and crowns tend to come loose while you're eating or because the tooth underneath is decaying. Once they're gone, the affected tooth is very sensitive to pressure and temperature changes.
Put your crown or filling in a bag if you're able to locate it. Try to affix it back onto your tooth using dental cement.
If you can't find the crown, put dental cement on top of your tooth. You mustn't use any other type of glue on top of your tooth.
We'll reattach your crown to your tooth if it still fits. If there's decay present in the affected tooth, we'll take care of it and create a new crown.
An abscessed tooth can be incredibly dangerous and sometimes life-threatening. They're caused when a pocket of pus in your tooth causes an infection. This infection can spread to other parts of your body if you don't treat it. Some signs that you might have an abscessed tooth include:
• Cold and hot sensitivity
• Fever
• Extreme pain
• A small bump on your gum by the infected tooth
• Facial swelling
• Tender lymph nodes
You need emergency dental services right away if you exhibit the above symptoms.
A heavy impact might knock out your entire tooth. To ensure you preserve your dental health, you need to visit an emergency dentist immediately to save your tooth.
• Take the following steps right away if your tooth has gotten knocked out:
• Pick up your tooth, avoiding touching the root
• Carefully rinse it in warm water
• Try to put the tooth back into the socket
• Put the tooth in a container of water or milk if you can't
• Call our office
Keep in mind that you don't want to remove any tissues that are still attached to your tooth. The tissue can help us reattach your tooth.
emergency exams, new patients, services, x-rays, insurance, extractions, smile, procedures
Call our Catoosa, OK office at (918) 937-2787 to tell us about your dental emergency.
We'll work quickly to get you seen by our dentists at one of our locations.
Our staff will get you on the road to recovery, no matter what you're facing.
TOP REASONS TO CHOOSE
Dr. Michaelsen
And His Team For Your
Implant Needs
Credentialed and Highly Experienced
Use of Cone Beam and 3D Scans for Best Possible Treatment Plan
Accessibility to Surgeon and Doctor Anytime After Surgery
Surgical and Restorative Phase Complete in the Same Office
High Quality Comprehensive Care

Immediately after receiving his Doctor of Dental Surgery degree, Dr. Michaelsen began his private practice in Catoosa where he plans to enjoy a long career serving and caring for the dental needs of Catoosa and the surrounding communities.

Dr. Naylor is passionate about sports, music, the outdoors and good food. He and his wife Lauren love to cook, workout, run, travel and enjoy time with friends and family.
Dr. Naylor loves dentistry and meeting new people. He is excited about every opportunity to help somebody fix their teeth, get out of pain or improve their smile. The smile is the first thing we see and relate to when we meet someone, that is what fuels his passion for dentistry.
Dr. Naylor is a member of the ADA, AGD, OAGD and the ODA.

He is married with 3 children and enjoys golf, soccer, reading, and playing the piano. He and his wife Amber love watching sports, especially the Green Bay Packers, Utah Jazz, and BYU football. Dr Robinson completed a mini residency focused on the treatment of sleep apnea, and also enjoys placing implants. He loves his career in dentistry and the opportunity to interact with patients, especially when it involves getting them out of pain and improving their smile. He and his family recently moved to Oklahoma and are excited to serve the patients.

Immediately after receiving his Doctor of Dental Surgery degree, Dr. Michaelsen began his private practice in Catoosa where he plans to enjoy a long career serving and caring for the dental needs of Catoosa and the surrounding communities.

Dr. Naylor is passionate about sports, music, the outdoors and good food. He and his wife Lauren love to cook, workout, run, travel and enjoy time with friends and family.
Dr. Naylor loves dentistry and meeting new people. He is excited about every opportunity to help somebody fix their teeth, get out of pain or improve their smile. The smile is the first thing we see and relate to when we meet someone, that is what fuels his passion for dentistry.
Dr. Naylor is a member of the ADA, AGD, OAGD and the ODA.

He is married with 3 children and enjoys golf, soccer, reading, and playing the piano. He and his wife Amber love watching sports, especially the Green Bay Packers, Utah Jazz, and BYU football. Dr Robinson completed a mini residency focused on the treatment of sleep apnea, and also enjoys placing implants. He loves his career in dentistry and the opportunity to interact with patients, especially when it involves getting them out of pain and improving their smile. He and his family recently moved to Oklahoma and are excited to serve the patients.

I have been going to Dental Arts of Catoosa for years! We actually drive over an hour away to come to this dentist. Everyone is extremely friendly and nice. They do a great job making you feel comfortable and happy. Heidi is my hygienist and she is amazing!
I wanted to say thank you. I very rarely leave my home. I'm pretty much a recluse because of the PTSD and Cancer. I was having so much anxiety yesterday. Brilee You made a difference. Then my D.A. Dee. The Hygienist Maddi. The Dr. And some sweetheart of a woman named Morgan who. Helped me with my phone when my frustration meter was

After several years of not seeing a dentist my sister begged me to come to Dental Arts of Catoosa, she assured I would receive the best care! She wasn’t lying! Heidi was super sweet and helped me understand everything I was needing. Flexible payment plans and great care? Seriously a great place!
Let me tell y'all something about this place. They put the SERVE in service. I am new to the area and have needed cavities filled for a while. They set me up with an appointment within a week of my first call, and notified me ahead of time once my insurance was verified. BOTH front desk team members greeted me with a hello and a how are you. The dental hygienist not only answered all my questions, but she explained every step of what she was doing. The dentist pulled up my x-rays and detailed every aspect of what they needed to do. When I told them I have trouble getting numb for fillings, they were prepped and ready to use a stronger medication when the lidocaine didn't numb my teeth. The dentist expressed real empathy when I told them about my bad experiences at a different dental office. The dental assistant CHELSEA deserves a shout-out for not only coming prepared with handheld items to calm me down, but a wicked sense of humor which took my mind off the treatment. Oh, and they did the fillings SAME DAY. 5 Stars. A million high 5's. Best wishes to the ENTIRE staff!!!!

Mary, Haley and Haley were all so kind and helpful! Never felt rushed or judged at all! The experience was so anxiety free and easy going. As long as I'm a patient here I won't have to worry and dentist nerves! Thanks Haley, Haley and Mary for taking care of me!

Dental Arts has a phenomenal team. They really take care of you and your smile. Last year I had permanent implants put in. They have gone above and beyond in my care. I would highly recommend.


Experienced and
Caring Team
Our team of dentists and staff is led by Dr. Soren Michaelsen, who has a deep commitment to providing the highest quality of care to his patients. We pride ourselves on our experience and our ability to provide personalized, compassionate care to each of our patients.
Affordable Options
For patients without insurance, we offer our Dental Arts Family Plan, with an annual fee of $299 per individual. We also offer a special $99 deal on preventative care for new patients.
Advanced Technology
and Equipment
We use the latest technology and equipment to provide our patients with the most effective treatment options. This includes digital x-rays, which use less radiation than traditional x-rays, and a variety of other tools that help us provide more accurate and efficient care.
A dental emergency is any situation where you are experiencing severe pain, swelling, bleeding, or have suffered trauma to your teeth or mouth. These situations require urgent care to prevent further damage.
Call our office right away. A severe toothache can indicate infection or decay. We will schedule you for an urgent evaluation and provide relief as quickly as possible.
Yes. We offer same-day emergency appointments whenever possible. Call us immediately and we will do our best to accommodate you.
Pick up the tooth by the crown (not the root), rinse it gently, and try to place it back in the socket. If that’s not possible, store it in milk and call us right away. Quick action is critical.
Do not try to glue it back yourself. Call our office so we can evaluate and restore the area to protect the natural tooth.
Emergency rooms can help with pain or infection control, but they cannot treat the tooth itself. It’s best to contact a dentist as soon as possible for proper treatment.
Yes. Swelling may indicate infection, which can spread if not treated. Contact us immediately for urgent care.
Over-the-counter pain relievers such as ibuprofen can help temporarily. Avoid applying aspirin directly to the tooth or gums, as this may cause irritation.
Most dental insurance plans include emergency coverage. We will help verify your benefits and explain your options clearly.
We offer flexible payment options to ensure you get the care you need right away. Do not delay treatment due to cost concerns—fast care prevents bigger problems.
We understand how important it is to be able to restore your dental health and your confidence with a long-term solution. That’s why we offer third-party financing options and work with you on payment plans to fit your budget.
Single Implant Replaced
for as little as
$97/mo*
Implant Retained Dentures
for
$247/mo*
Full Fixed Arch
as low as
$347/mo*
*Subject to Credit Approval
At your consultation, we can review all the options available to you.
There are many reasons why Dental Implants are a great option for patients who are missing teeth, and our team is here to help. We are experts in All-on-4 Dental Implants, which is a prosthesis that is supported by four surgically placed Dental Implants. This is an excellent alternative to single implants, because it gives you a full set of teeth without the need for a separate implant for each tooth. All on four implants are also a quick option because they can typically be placed the same day that your decayed teeth are extracted, minimizing your recovery time. Talk to our cosmetic dentists to see if you are a candidate for All on Four Dental Implants!
Looking for a Dentist in
Catoosa, OK?
At Dental Arts, we have put in a great deal of thought and effort into creating an enjoyable patient experience.
Our staff will make sure that you have everything you need for a very pleasant visit.